Publié le 9 mars 2023 Mis à jour le 9 mars 2023
Pour lutter contre l’asthme allergique, qui touche des millions de personnes à travers le monde, des scientifiques de l'Institut toulousain des maladies infectieuses (Infinity - CNRS/Inserm/UT3), de l’Institut Pasteur et de l’entreprise française NEOVACS, développent et testent un nouveau vaccin. Dans leur dernière étude, les équipes ont montré que ce vaccin était efficace pour produire des anticorps capables de neutraliser des protéines immunitaires humaines clés dans le déclenchement de l’asthme allergique, les cytokines IL-4 et IL-13. Les résultats, publiés dans la revue Allergy, ouvrent la voie à l’organisation d’un essai clinique.

L’asthme est une maladie chronique qui touche environ 4 millions de personnes en France et 340 millions dans le monde. L’asthme allergique, qui représente environ 50 % des cas d’asthme, se caractérise par une inflammation des bronches et une gêne respiratoire provoquée par l’inhalation d’allergènes, le plus souvent des acariens.

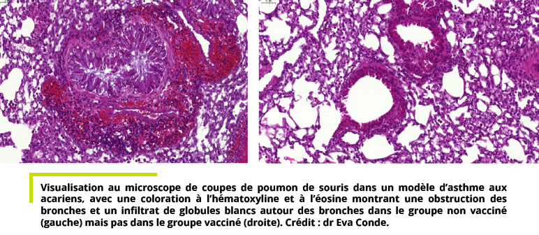
Cette exposition aux acariens et autres allergènes déclenche une surproduction d’anticorps appelés immunoglobulines E (IgE) et de protéines appelées « cytokines de type 2 » (en particulier les interleukines IL-4 et IL-13) dans les voies aériennes. Ce phénomène entraine une cascade de réactions aboutissant à une hyperréactivité des voies respiratoires, une surproduction de mucus et une éosinophilie (un taux trop élevé de globules blancs appelés éosinophiles dans les voies aériennes).
 

A l’heure actuelle, les corticoïdes inhalés sont les médicaments de référence pour contrôler l’asthme. Cependant, dans le cas d’asthme allergique sévère, ce traitement ne suffit pas toujours. Il faut alors avoir recours à des traitements par anticorps monoclonaux thérapeutiques ciblant justement les IgE ou les voies IL-4 et IL-13. Or ces médicaments sont très onéreux et contraignent les patients à effectuer des injections pendant des années, voire tout au long de leur vie.

Depuis plusieurs années, le directeur de recherche Inserm Laurent Reber et ses collègues au sein du laboratoire toulousain Infinity, avec l’équipe de Pierre Bruhns à l’Institut Pasteur, en collaboration avec l’entreprise française NEOVACS, travaillent au développement d’un vaccin afin d’ouvrir de nouvelles perspectives thérapeutiques pour les patients atteints d’asthme allergique sévère.

[+] Lire la suite sur le site de l'Inserm